大口黑鲈肠道结构
更新时间:2024-12-12 11:40:57 来源/作者:水生动物健康评估

肠道是消化系统的重要组成部分,同时也是最大的免疫器官之一,具有物理、化学、生物屏障以及免疫屏障等多种功能,一旦功能出现异常,将会影响鱼体健康。因此,了解肠道结构对于大口黑鲈的健康养殖尤为重要。
不同肠段功能不同,每一部分都有其独特的生理功能,因此对肠道进行分段研究具有重要意义。然而,肠道分段存在较大争议,如虹鳟的肠道分为小肠和直肠,黄鳝的分为前肠和后肠,驼背鲈的则分前、中、后肠。对于已划分前、中、后段的鱼类,其前肠是主要营养吸收部位,中肠与前肠功能相似,后肠分泌物有利于润滑粪便。同时,也有观点认为中、后肠主要与免疫相关。目前,对鱼类的肠道分区通常以肠道自然弯曲分段,如对马口鱼、光唇鱼和蛇鮈的肠道分区。而长鳍篮子鱼则是肠道绒毛的变化,将肠道划分为前、中、后3段。相似的如异育银鲫、鳡鱼、匀斑裸胸鳝,都是根据肠道结构的差异,划分肠道。然而,大口黑鲈的肠道形态结构和分区,暂未有清晰明确的研究证实。
1 消道形态
当鱼体头部朝右侧进行解剖时,其肠道易被暴露和观察(图1b);当鱼体头部朝左侧进行解剖时,其肠道结构会被肝脏、幽门盲囊等遮挡(图1c)。大口黑鲈的胃呈“Y”型,肠道管壁较厚,被脂肪覆盖。幽门盲囊多分布于腹腔左侧,呈“扇”型贴近腹腔壁。肠位于幽门盲囊之后,呈管状,起始端膨大,向下延呈“S”型排布,有2个弯曲(图1d)。

图1 大口黑鲈腹腔解剖视野
a:取样示意图;b:右侧视野;c:左侧视野;d:模型图。
注:I:肠道;ST:胃;PC:幽门盲囊;L:肝;SL:脾)
2 大口黑鲈的比肠长指数
大口黑鲈比肠长在0.66~0.86,平均值0.76±0.06。以肠弯曲计算肠道长度占比,前、中、后段分别为肠道总长度的(44.35±2.54)% 、(28.26±2.13)%和(27.33±2.78)%,见表1。
表1 大口黑鲈体长、肠长及比肠长指数

3 大口黑鲈肠道组织观察和形态参数测定
HE染色显示肠道绒毛完整、排列紧密。从肠道前段至末端,主干绒毛上出现越来越多的小分叉结构,即肠道绒毛从密集而细长变为粗矮,从偶见分支变成大量分支,见图2。
不同肠段的管径、绒毛高度、绒毛数量、肌层厚度和浆膜层厚度上存在差异,见表2。肠段1管径(5043.60±108.69)μm、绒毛高度(1 479.86±45.84)μm、绒毛数量(59.28±5.91)根、浆膜层厚度(113.34±22.99)μm 都显著高于其余组别(P<0.05)。肠段2肠道管径、绒毛高度、肌层厚度和浆膜层厚度显著高于后续组别(P<0.05)。肠段3、4、5之间组织结构无显著差异,肠段6和7管径和浆膜层厚度存在差异。

图2 肠道横切观察(4×)
注:a~g分别表示第1~7肠段,其中M:肌层;SM:黏膜下层;MF:黏膜皱襞(肠绒毛);S:浆膜层。
表2 大口黑鲈肠道的组织结构

注:不同上标字母表示差异显著,P<0.05。
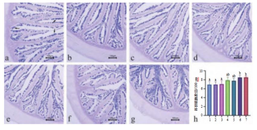
4 肠道杯状细胞数量统计
肠道杯状细胞在肠道内不均匀分布,从前到后肠密度逐渐增加,见图3a~g 。第1、2、3段细胞数目显著低于第6、7段(P<0.05),见图3h。第1、2、3段杯状细胞数目约为6.9个/100μm ,第6、7段约为 8.5个/100μm。

图3 肠道局部观察(10×)
注:a~g分别表示第1~7肠段(箭头表示杯状细胞);h为各肠段杯状细胞数目/100μm(不同上标字母表示差异显著)。
5 讨论
大口黑鲈肠道相对较短,有幽门盲囊,胃呈Y型,可容纳较多食物。肠道起始端较粗大,管壁较厚,胃肠分界明显。大口黑鲈的比肠长约为0.76,与同为鲈形目的如花鲈(0.84)和鳜(0.62)相似。根据大口黑鲈肠段在管径、绒毛高度和数目、肌层厚度、浆膜层厚度和杯状细胞数目的差异,在结构上,第1和2段可划为前区,第3、4、5段可划为中区,第6和7段划为后区,三区各占肠道总长25%、45%和30%。而若以肠弯曲将肠道分为前、中、后,则三区各占肠道总长分别为44.3%、28.4%和 27.3%。
大口黑鲈前肠末端组织结构向中肠趋同。后肠在2种分段标准下,占比结果相似。绒毛高度由前到后呈降低趋势,数量逐渐减少,肌层由前至中变薄,后肠变厚,这些结构更有利于食物消化吸收。较高的前、中肠绒毛可以增加与食物的接触面,有助于消化。前、后肠肌层较厚使得肠壁收缩力增强,蠕动增加,有助于食物混搅、消化及排出。通过对大口黑鲈肠道形态结构观察,表明以肠道弯曲为分段标准基本符合前、中、后肠在组织结构上的变化规律。
每日更新
重点推荐
友情链接
【政府部门】: 农业农村部 | 广东省农业农村厅 | 全国水产技术推广站
【科研院所】: 华南农业大学 | 中山大学 | 广东海洋大学 | 仲恺农业工程学院 | 上海海洋大学 | 中国水产科学研究院珠江水产研究所 | 中国水产科学研究院南海水产研究所
咨询服务:020-34466381 | 合作服务:18620920190 | 会员服务: 020-34466381
地 址:广州市南沙区东涌镇市南路4号段广东海洋与水产高科技园4号楼 邮编:511453
Copyright 2006-2019广东省水生动物卫生协会版权所有
返回顶部